Clinic: Minneapolis
Conditions: Male Factor Infertility
Treatments: Embryo Preimplantation Genetic Testing, In Vitro Fertilization (IVF)
In Alex’s own words
The Journey to Baby #2
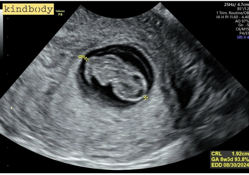
I am 8 weeks pregnant with our baby via IVF! We had been trying for a while with no luck then sought help from KindBody. We did testing, and it turned out IVF was our best shot at baby #2.
A Warm and Supportive Experience
Our doctor, the nurses (shoutout Aly), ultrasound techs, and staff were wonderful! They were so warm and eased my anxiety through the process. We had a great experience and I recommend them to anyone struggling with infertility.
Advice from Alex To Others Just Starting The Process
“Remember that everyone’s journey is different. I was way more worked up than I needed to be going into it based on other people’s experiences.”
In this short but sweet heartfelt blog post, Alex and her husband Ernie share their journey to expand their family with the help of KindBody. Facing infertility challenges, they turned to IVF, and their persistence led to the joyous news of Alex’s pregnancy. Through the care of our doctor, Aly, and the dedicated staff, they found the support and guidance they needed during this emotional journey.


