Clinic: Atlanta
Doctor: Dr. Kristen Cain
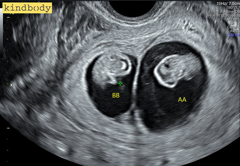
Treatments: IUI, Same Sex Couple
First and foremost, Dr. Cain is an amazing doctor and person. She was our first selling factor for Kindbody. Everyone we met along the way has been great as well. We have recommended everyone we know to Kindbody, resulting in three babies within our friend group. We had a successful pregnancy which resulted in our amazing firstborn Kindbaby. When she was a year old, we started the process again and are now pregnant with twins. Kindbody is and will always be one of the reasons we have grown our family.
Ellie’s Advice
Stay open to all possibilities and trust the providers at Kindbody. Be transparent about your needs and feelings.

